症例
(右下の奥歯が腫れた。)
2026年1月13日
術前・術後
| 治療前 | 治療後 |
|---|---|
![]() |
![]() |
| 主訴 |
右下の奥歯が腫れた。 |
|---|---|
| 治療期間 |
6回(約3ヶ月) |
| 治療費 |
135,000円(税別) |
| 治療内容 |
右下第二大臼歯が腫れたということで来院されました。レントゲンおよびCT撮影をしたところ、根っこの先および周囲が黒く抜けており、神経が死んでしまい膿が溜まっている状態でした。被せ物を外したところ歯にヒビが確認できましたが、何とか保存できると判断し、樹脂で補強した後、ラバーダム防湿下で根管治療を行いました。 |
| 治療のリスク |
将来的に歯の根っこの先に膿ができる可能性、 |
治療経過

術前のCTです。
歯根の周囲の骨吸収が認められます。

根管治療後のCTです。
歯根の周囲の骨吸収もだいぶ改善されました。

術前のレントゲン写真です。

根管治療後のレントゲン写真です。

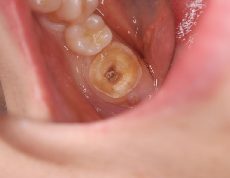
初診時の状態です。歯肉に腫脹が認められます。

被せ物を外すと歯の神経である歯髄は死んでしまっており、歯に亀裂も認められます。

亀裂を樹脂で補強し、ラバーダム防湿下で根管治療を開始しました。

状態が改善したことを確認し、最終的な被せ物を装着しました。
症例
(前歯の被せ物の色が気になる。)
2025年11月4日
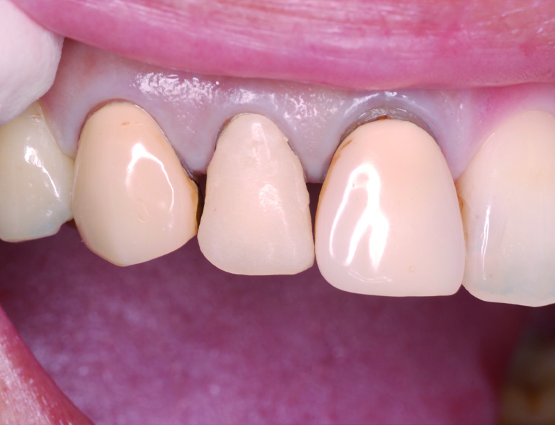
術前・術後
| 治療前 | 治療後 |
|---|---|
![]() |
![]() |
| 主訴 |
前歯の被せ物の色が気になる。 |
|---|---|
| 治療期間 |
約5ヶ月 |
| 治療費 |
205,000円(税別) |
| 治療内容 |
右上第一中切歯も被せ物の色が気になるということで来院されました。 |
| 治療のリスク |
クラウンやコンポジットレジンが割れたり、将来的に歯の根っこの先に膿ができる可能性、根っこが割れてしまう可能性があります。 |
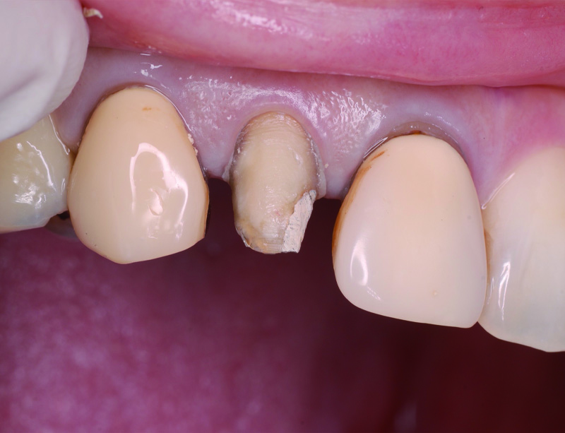
治療経過

術前の状態です。右上中切歯の被せ物が合っていないことがわかります。また周りの歯の樹脂も劣化が認められます。

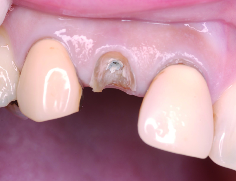
被せ物を外すとう蝕が認められました。

土台外すとさらに根管の中にもう蝕が認められました。

残っている歯の量が少ないため、根管治療後に部分矯正にて歯を引っ張り上げる(矯正的挺出)こととしました。

その際は表には仮歯をつけて見た目の確保を行います。

矯正的挺出が終わった状態です。歯とともに歯肉と骨も一緒に引っ張り上げられるので、
手術(歯冠長延長術)によって歯肉と骨を整形し、健康な歯の量を確保します。

歯冠長延長術を行ったところです。

その後土台を築造し、型取りを行います。

右上中切歯にセラミッククラウンを装着して、周りの歯の樹脂もやり替えを行いました。
症例(左上の歯が痛い。)
2025年9月12日
術前・術後
| 治療前 | 治療後 |
|---|---|
![]() |
![]() |
| 主訴 |
左上の歯が痛い。 |
|---|---|
| 治療期間 |
3回(約1ヶ月) |
| 治療費 |
85,000円(税別) |
| 治療内容 |
左上第一小臼歯が咬むと痛いということで来院されました。 |
| 治療のリスク |
将来的に歯の根っこの先に膿ができる可能性、根っこが割れてしまう可能性があります。 |
治療経過

初診時の状態です。虫歯の部分には以前の歯科医院で仮詰めがされていました。

術前のレントゲン写真です。虫歯が歯の神経(歯髄)に近接しているのがわかります。

詰め物を外すと大きな虫歯が確認できました。

虫歯を除去すると歯の神経(歯髄)が露出しました。

歯髄の状態から、保存することが可能と判断し、
ラバーダム下でMTAセメントによる歯髄保存療法を行いました。

症状が改善したことを確認し、セラミックインレーによる修復を行いました。















